M. MARQUET
ANNEXE
RESULTATS DU TRAITEMENT DES COMPLICATIONS TUBERCULEUSES
Conséquences du traitement d’une caverne tuberculeuse
par thoracoplastie (exérèse chirurgicale 1950)
Agrandir l'image
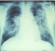
Conséquences du traitement médicamenteux
d’une tuberculose cavitaire très évoluée (années
80)

1980
1982
Agrandir l'image
Agrandir l'image

1982
1983
Agrandir l'image
Agrandir l'image